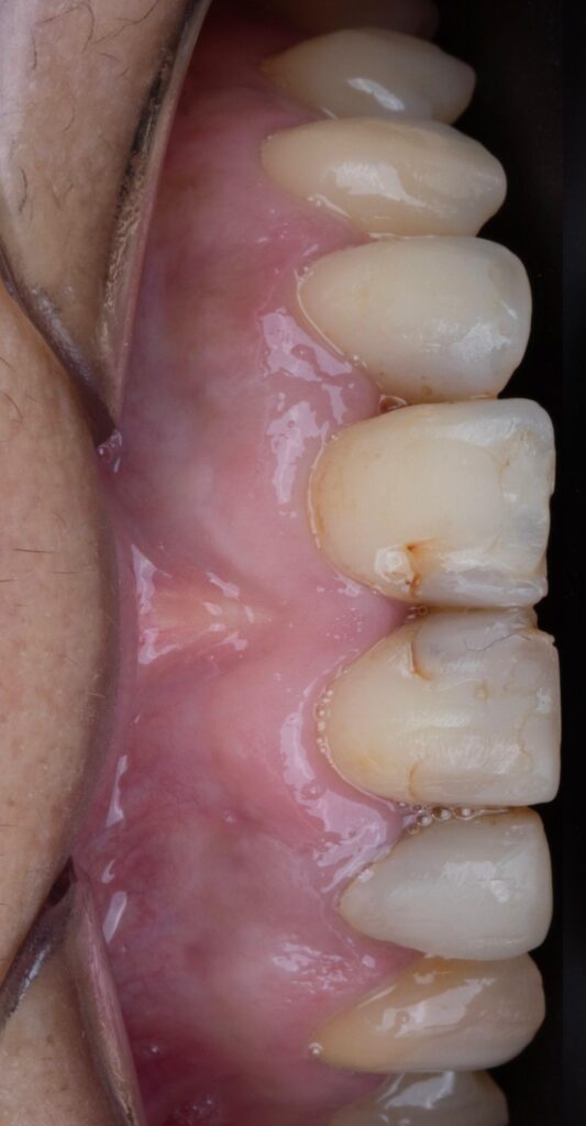
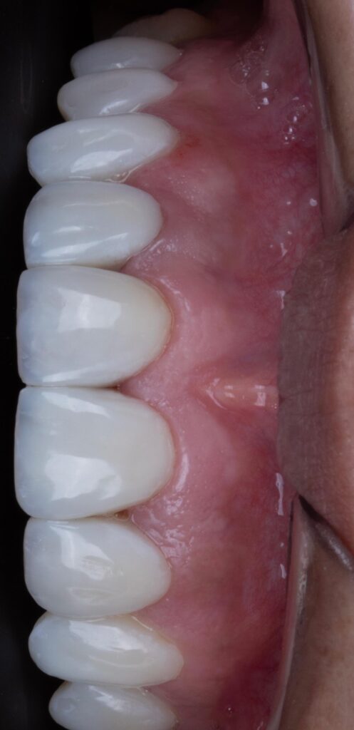
Imagine ter o Poder de transformar sorrisos?







Transforme a vida dos seus pacientes e o seu consultório com o curso "Viver de Lentes", onde você aprenderá a dominar a aplicação de lentes em resina composta. Este curso é ideal para dentistas que querem expandir suas habilidades na área de estética e alcançar resultados impressionantes com uma técnica que não só é eficaz, mas também replicável e rentável.

Para quem é o curso Viver de Lentes?








O curso "Viver de Lentes" é ideal tanto para dentistas já em atividade quanto para estudantes de odontologia. Ao dominar essa técnica inovadora, os profissionais terão a oportunidade de impulsionar suas carreiras, oferecendo aos seus pacientes um serviço de excelência e que se destaca no mercado.

Aprenda extratificar utilizando apenas
2 Resinas


Técnica simples e Replicável